Stress e sistema nervoso
Possiamo immaginare il nostro cervello come una cipolla, con strati sovrapposti uno sopra l’altro. E’ il risultato dell’evoluzione a cui siamo andati incontro con una progressiva sovrapposizione di strutture cerebrali che abbiamo via via ereditato dai nostri progenitori nel corso dei milioni di anni. Semplificando, abbiamo un cervello dei rettili, uno in comune con altri mammiferi (paleo mammaliano o limbico) ed uno definito neo mammaliano, sede delle funzioni più elevate. Tale organizzazione comporta anche la necessità d’integrazione, in un certo senso esse devono comunicare tra di loro. La cosa interessante è che essi “… devono fondersi e funzionare tutti e tre insieme come un cervello uno e trino. La cosa straordinaria è come la natura sia stata capace di collegarli fra loro e di stabilire una qualche sorta di comunicazione dall’uno all’altro.” (MacLean 1973). In pratica alcune funzioni del nostro cervello sono autonome, vedi il caso del senso di fame, altre viceversa necessitano del’azione e dell’integrazione di tutti e tre, come in alcuni comportamenti superiori. È confermata anche una cera gerarchia nel senso che, almeno in linea generale, le prime strutture a funzionare sono quelle di più recente acquisizione nelle storia dell’evoluzione e successivamente, in caso di insuccesso, quelle più antiche. Fa forse eccezione l’amigdala che, in quanto salva-vita, funziona per prima pur essendo piu antica. Questa ipotesi di organizzazione, sebbene profondamente modificata e integrata da successive ricerche di neurologia, rimane sostanzialmente valida. e può spiegarci come lo stress, e la minaccia di cui spesso è il risultato, impatta sulla nostra vita.
Fatta questa precisazione, vediamoli in dettaglio.
“Cervello rettiliano”
Nella parte più antica e profonda troviamo le stesse strutture dei pesci, dei serpenti, e degli altri rettili come le lucertole. E’ il cosiddetto cervello rettiliano deputato alla gestione di comportamenti stabiliti geneticamente. Rientrano in questa categoria importanti fenomeni come la sopravvivenza, la respirazione, il sonno, la frequenza cardiaca e la riproduzione. A questi possiamo aggiungere alcuni iniziali aspetti sociali come la territorialità, la dominanza, e comportamenti rituali. Sono strutture cerebrali che potremmo definire, “autocentrate”, nel senso che guardano solo ai propri interessi basici. Queste aree utilizzano i contrasti come “con/senza”, “prima/dopo” etc, considera solo quanto è familiare, e basa il suo funzionamento sulle informazioni visive che sono processate senza l’intervento di strutture cerebrali “superiori”. E’ interessante notare che i messaggi pubblicitari hanno come obiettivo quello di andare a influenzare proprio questa parte del cervello, tanto che esiste un’area di studio definita “neuromarketing” e che cerca di utilizzare studi sul cervello rettiliano per mettere in campo campagne pubblicitarie sempre più efficaci. Si ricordi, infatti, che oltre 85% delle nostre decisioni di acquisto sono inconsce e trovano il loro “perché” in quest’area.
Cervello paleo mammaliano o limbico
Sopra il sistema rettiliano troviamo il cervello cosiddetto paleo mammario che fornisce, agli animali che ne sono forniti, strumenti migliori e più efficaci per interagire con l’ambiente e con i propri simili. Noi abbiamo in comune con tutti mammiferi questo tipo di cervello. A quest’area sono deputate funzioni come le emozioni (ad esempio la paura e la rabbia) e l’integrazione delle funzioni del cervello rettiliano. Ad esempio, i comportamenti sessuali e riproduttivi, tipici del cervello rettiliano, sono modulati attraverso la motivazione e gli aspetti emotivi gestiti da queste aree cerebrali. Dobbiamo a quest’area cerebrale, ad esempio, i comportamenti di cura della prole. Inoltre, nel cervello limbico sono situate alcune strutture molto importanti per la percezione e la gestione dello stress di cui si parlerà più avanti.
“Cervello neo mammaliano”
Alle strutture che lo compongono, sono deputate le funzioni superiori come il ragionamento, la capacità di prevedere gli effetti dei nostri comportamenti, il fare programmi, la consapevolezza del sé, il linguaggio, etc. A questo livello troviamo in particolare la corteccia prefrontale. Quest’area non ha una funzione particolare, come la corteccia visiva, che permette la visione, o la corteccia motoria che sovrintende ai movimenti volontari. Essa è piuttosto un’area di associazione che collega diversi circuiti cerebrali permettendo un’armonizzazione delle varie funzioni.
Questa illustrazione è ovviamente generica. Infatti, le cose si complicano quando aggiungiamo a questa visione d’insieme il fatto di avere due emisferi cerebrali con funzioni diverse, e che molte capacità che il nostro cervello possiede richiedono l’attivazione contemporanea di aree cerebrali diverse. Basterebbe, a questo proposito, citare la memoria che non ha una sede specifica dato che abbiamo tanti diversi tipi di memoria. Questa descrizione è, però, sufficiente per capire le basi anatomiche dello stress.
Dopo questa visione d’insieme, vorrei affrontare da vicino tre strutture cerebrali interessanti per il nostro argomento: amigdala, appartenente al cervello paleo-mammaliano, e la corteccia prefrontale del cervello neo-mammaliano, a cui va aggiunta la corteccia anteriore del cingolo. Certamente ci sono altre strutture cerebrali coinvolte nello stress, tanto che si parla di “Sinfonia dello stress”, ma queste tre sono le più importanti. Vediamoli brevemente.
L’Amigdala

E’ la parte del cervello, evidenziata in rosso, che verifica la presenza di una minaccia, scandagliando continuamente, attraverso i sensi, l’ambiente in cui ci troviamo. E’ interessante notare che, anche se non ce ne accorgiamo, la risposta di quest’area avviene prima ancora di avere la percezione sensoriale. E’ dimostrato, ad esempio, che i non vedenti, per un danno della corteccia visiva, provano paura se mettiamo davanti ai loro occhi l’immagine di un serpente, pur non “vedendola“. Ciò indica che l’A. reagisce allo stimolo visivo anche in assenza della percezione cosciente dello stesso. Non solo, ma l’A è anche attiva nel sistema di comparazione degli stimoli ricevuti con le esperienze precedenti: è la sede di quella che è stata definita “memoria emotiva”.
Immaginiamo, ora, di vedere un camion che ci sta per travolgere. Visto il pericolo, l’amigdala invia un “segnale di allarme” a tutte le strutture cerebrali attivandole e determinando la sensazione di paura. E’ interessante notare che l’attivazione di tutte le strutture cerebrali è assoluta, con il blocco totale delle strutture non indispensabili alla risposta fuga /combattimento. In sostanza, se sto ragionando tra me e me su un concetto filosofico oppure che fiori mandare alla mia fidanzata, tale ragionamento verrà completamente “soffocato”. Vengono “spente” tutte le aree e funzioni non indispensabili alla risposta che l’organismo deve mettere in atto come risposta alla minaccia rappresentata dal camion. E’ quello che Goleman ha definito “dirottamento funzionale”.
Contemporaneamente viene attivata, attraverso l’ipotalamo, l’ipofisi che produce ACTH che a sua volta stimola le ghiandole surrenali a produrre Adrenalina, Noradrenalina, e Cortisolo, mediatori chimici della risposta fuga/combattimento. Queste sostanze determinano, da sole o insieme ad altri meccanismi, una serie di azioni che sono funzionali a un eventuale combattimento o fuga, che, di fatto, l’A mette poi in azione.Se vogliamo, si tratta certamente di una risposta utile in quanto “salvavita”: ci attiviamo per evitare un pericolo o ridurre le conseguenze di una situazione. Davanti ad un camion che ci sta per investire, non ha molto senso cercare di capire la marca e modello del camion, la sua velocità o il suo colore. Questo modo rapido di reagire, tuttavia, è anche grossolano, retaggio, probabilmente, del funzionamento del cervello dei nostri progenitori che dovevano confrontarsi continuamente con un ambiente ostile e pieno di pericoli. In sintesi queste le funzioni dell’A.
- Gestisce le emozioni “decidendo” che risposta dare ad esse
- Archivio della memoria emozionale confrontando l’emozione attuale con le esperienze passate
- “Grilletto neuronale” determinando sia la risposta ormonale che la risposta attiva : combattimento o fuga
- Hijaking: Dirottamento funzionale.
Corteccia prefrontale
La corteccia prefrontale, nella figura accanto indicata in rosso, rappresenta la sede della parte più “nobile” ed complesso del comportamento umano. A differenza di altre aree cerebrali che hanno una funzione propria, come quella motoria che presiede ai movimenti volontari, la CPF ha funzioni esclusivamente di tipo associativo tra aree cerebrali diverse. Queste le principali azioni della corteccia prefrontale (CPF):

Regola la risposta della Amigdala. Detto in estrema sintesi, nel momento in cui riceve informazioni dall’Amigdala su un possibile pericolo, la CPF si attiva sottoponendo a verifica quanto sta accadendo. In sostanza modula la risposta che l’A ha messo in atto eventualmente riducendone la portata e l’importanza. Esiste dunque un bilanciamento tra Amigdala e CPF. La CPF, infatti, modula la paura. Evidentemente se l’amigdala sarà eccessivamente attivata o il prefrontale avrà, per qualsiasi ragione, una minore capacità di freno assisteremo ad una condizione cronica di attivazione dei sistemi cui abbiamo precedentemente accennato.
- Sede dell’equilibrio emotivo. Proprio per le ragioni esposte prima, permette di mantenere in equilibrio il nostro panorama emotivo
- Modula la flessibilità della risposta in quanto ci induce a scegliere la risposta più adeguata in relazione alla minaccia percepita. In questo senso permette di rispondere o di reagire con un ventaglio esteso di comportamenti.
- Sede dell’empatia e della comunicazione sincronizzata. Proprio per la sua capacità di “leggere” l’ambiente e le azioni degli altri permette di avere una comunicazione empatica.
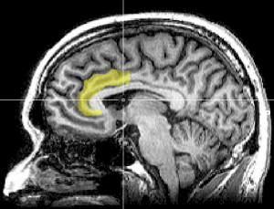
Corteccia Anteriore del Cingolo
La Corteccia Anteriore del Cingolo (CAC), indicato in giallo nella figura al lato, svolge diverse azioni tra cui la capacità di rilevare i conflitti, non solo emotivi, con la relativa percezione dell’errore nello svolgimento di un compito riguarda la gestione dello stress la CAC è coinvolta nella:
Tristezza. La CAC è implicata nella gestione della tristezza, nel senso che, ad esempio, il ricordo di un evento causa di tristezza determina l’attivazione di questa area cerebrale. Così come si è evidenziato che nei depressi è presente una alterata attività della CAC
Regolazione delle emozioni. Oltre a intervenire nella regolazione delle emozioni la CAC modifica i nostri comportamenti quando questi determinano emozioni negative.
- Ansia. Nei disturbi d’ansia si osserva una minore attività della CAC.
- Correlazione tra ansia e dolore cronico. Sappiamo che esiste una tale correlazione nel senso che questi due situazioni si alimentano vicendevolmente: elevati livelli di ansia determinano una maggiore percezione del dolore e viceversa.
In questo quadro s’inserisce la Mindfulness. E’ sufficiente dire, per il momento, che le pratiche di consapevolezza riducono la funzionalità dell’amigdala potenziando quella della corteccia prefrontale. In un’altra sezione, Mindfulness perché funziona, troverete una descrizione di come concretamente funziona la M e come essa riesca a ridurre gli effetti negativi dello stress.